Prader-Willi Syndrome Treatment Oversight in Florida Facilities
Prader-Willi Syndrome influences many parts of daily life for individuals who live with this condition. Families, caregivers, and facility teams manage appetite, medication routines, behavior, and safety planning every day. Many residents need predictable schedules that support stability, and Park Shore Pharmacon helps teams follow these routines with structured systems that guide medication timing and clinical organization. A focus on Prader-Willi Syndrome Treatment Oversight in Florida Facilities helps teams respond to each resident’s unique needs. Florida care communities support individuals who require supervision for nutrition, mobility, emotional regulation, and medication management. Teams create daily plans that encourage healthy choices and steady routines. Park Shore Pharmacon strengthens these plans by helping facilities follow medication schedules that support overall wellness and clinical oversight for individuals with complex needs.
Structured coordination helps caregivers reduce confusion during medication passes and behavior planning. Teams guide residents through routines that include activity schedules, medical appointments, and nutrition support. Park Shore Pharmacon helps each facility organize packaging, labels, and medication timing in a way that matches the expectations of regulated care environments. Florida facilities rely on strong partnerships that support safety and daily consistency. Teams communicate with clinicians, therapists, and families to maintain clear expectations for each resident’s care plan. Park Shore Pharmacon helps these teams support individuals who live with Prader-Willi Syndrome by coordinating medication needs and strengthening workflows that protect stability and safety.
Genetic Factors That Influence Prader-Willi Syndrome
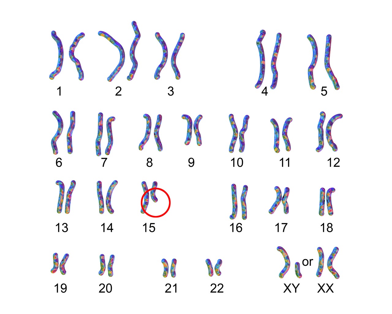
Genetic differences on chromosome 15 influence the development of Prader-Willi Syndrome and create challenges that affect growth, appetite control, behavior, and hormone production. Families and caregivers work with clinical teams to guide residents through routines that support nutrition, emotional stability, and safe medication use. According to the National Institutes of Health (NIH), genetic changes on this chromosome shape several developmental functions that influence daily health needs for individuals who live with this condition. As a result, teams build care plans that respond to each person’s unique genetic profile.
In addition, care teams use predictable schedules that support healthy structure throughout the day. These schedules include meal timing, behavioral guidance, hormone management, and activity plans. Furthermore, Park Shore Pharmacon helps facilities create medication routines that support these schedules and follow licensed clinician oversight for individuals who live with Prader-Willi Syndrome. As daily needs change, teams respond to shifts in appetite, mood, sleep, and physical development with structured monitoring. Facilities guide each resident through consistent programs that protect safety and support long-term wellness. Through this ongoing coordination, Park Shore Pharmacon strengthens these efforts by organizing medication timing and improving communication between caregivers, clinicians, and family members.
Symptoms and Early Life Challenges Linked to Prader-Willi Syndrome
Children who live with Prader-Willi Syndrome often face symptoms that shape early development and daily functioning. These symptoms include low muscle tone, feeding difficulties, temperature instability, and slower physical growth. According to the National Institute of Child Health and Human Development (NICHD), children who live with this condition benefit from early support that guides nutrition, physical development, and behavioral stability. Caregivers and therapists work together to create routines that strengthen mobility, improve feeding patterns, and support healthy sleep. These routines help children grow with structure and safety. Park Shore Pharmacon helps care teams follow medication plans that support these routines and match each child’s clinical needs.
As children grow, they face challenges that include appetite changes, behavioral patterns, learning differences, and hormone-related concerns. Facilities create predictable environments that guide children through these stages with steady support. Park Shore Pharmacon strengthens these programs by coordinating medication timing and improving caregiver communication so teams can support long-term wellness for individuals who live with Prader-Willi Syndrome.
Behavioral and Cognitive Traits Related to Prader-Willi Syndrome
Behavioral traits influence many parts of daily life for individuals who live with Prader-Willi Syndrome and shape how each person responds to routines, relationships, and supervision. These traits often include strong food-seeking behaviors, anxiety during transitions, repetitive actions, and challenges with impulse control. Park Shore Pharmacon helps teams create medication routines that support stability for individuals who manage these traits every day while maintaining safe and predictable schedules.
Cognitive challenges also influence learning, decision-making, and social understanding. Some individuals process information at a slower pace or require step-by-step support when completing tasks. Care teams develop structured environments that guide emotional regulation and help residents make safe choices during meals, activities, and community interactions. Park Shore Pharmacon supports these environments by coordinating medication plans that help reduce stress and improve focus for individuals who live with complex cognitive needs. Florida facilities build full programs that support behavior management, communication development, and skill-building goals. Therapists and caregivers design predictable routines that help residents stay calm and engaged throughout the day. Park Shore Pharmacon strengthens these programs by organizing medication packaging, timing, and oversight so each facility can support long-term wellness for individuals who live with Prader-Willi Syndrome.
Medication Support for Individuals Who Live With Prader-Willi Syndrome
Individuals who live with Prader-Willi Syndrome often need medication support that addresses behavior, mood, sleep, hormones, and coexisting conditions. Many residents also receive therapies for autism, psychosis, seizure disorders, dementia, or movement challenges, which increases the need for organized routines and clinical oversight. A structured approach helps teams manage timing, communication, and daily stability. The sections below highlight key areas that influence safe medication planning and demonstrate how each service strengthens care in Florida facilities.
Behavior and Mood Regulation Programs
Behavior support programs guide residents through emotional shifts, anxiety, and impulse control challenges. Many individuals need medications that support stability throughout the day. Park Shore Pharmacon helps teams coordinate timing, packaging, and clinical communication so caregivers manage behavior plans with confidence. This structure gives facilities predictable routines that support calm environments, healthy emotional patterns, and safer decision-making for individuals who live with Prader-Willi Syndrome and coexisting behavioral needs.
Seizure and Neurological Therapy Coordination
Neurological concerns influence many daily needs for individuals who live with complex disorders. Some residents require seizure medications, movement-related therapies, or treatments that support cognitive focus. Park Shore Pharmacon helps teams follow schedules that protect safety and reduce confusion during busy shifts. Organized packaging, clear labels, and direct communication allow caregivers to maintain reliable routines that support stability and reduce errors for residents who also manage seizure disorders and neurological conditions.
Hormone, Sleep, and Metabolic Medication Management
Hormone therapies, sleep medications, and metabolic treatments shape several health outcomes for individuals who live with complex needs. These therapies require strict timing and clear monitoring so caregivers respond to clinical guidance. Park Shore Pharmacon supports this process by organizing medication schedules, preparing packaging formats that improve clarity, and coordinating with licensed clinicians. This approach helps teams supervise hormone levels, improve sleep, and support metabolic balance for residents who need steady daily oversight.

Nutrition, Hormonal Needs, and Metabolic Challenges in Prader-Willi Syndrome
Individuals who live with Prader-Willi Syndrome often face challenges that influence appetite control, metabolism, hormone balance, and sleep patterns. These challenges require structured support from caregivers who guide daily routines and help residents follow medical recommendations. Park Shore Pharmacon strengthens this approach by coordinating medications that support appetite regulation and hormone stability for individuals who live with Prader-Willi Syndrome.
Nutrition plays an important role in long-term wellness because many residents need specific calorie limits, portion rules, and meal timing schedules. Care teams follow structured diets and activity plans that reduce health risks and support emotional stability. Park Shore Pharmacon helps facilities follow supplement plans and medication routines that support healthy nutrition goals. Medical teams monitor hormone levels, metabolic function, and sleep cycles throughout the year to maintain clarity and consistency. Teams respond to changes in behavior, appetite, and mood with guidance from licensed clinicians. Park Shore Pharmacon supports these teams by organizing medication schedules, coordinating updates, and improving communication so facilities manage daily needs with confidence.
Clinical Oversight and Risk Monitoring for Prader-Willi Syndrome
Residents who live with Prader-Willi Syndrome often manage health concerns that influence behavior, mobility, metabolism, and emotional stability. Clinical teams monitor issues related to anxiety, sleep quality, thyroid function, blood sugar, and mood regulation throughout the year. Park Shore Pharmacon helps caregivers follow medication routines that support these goals and guide safe daily care for individuals who live with Prader-Willi Syndrome.
Care teams use structured schedules to track changes in appetite, energy, or behavior so clinicians receive accurate updates. These schedules help teams guide residents through routines that reduce stress and support overall wellness. Park Shore Pharmacon strengthens these efforts by coordinating medication timing and preparing packaging that helps caregivers follow clear treatment plans. Florida facilities rely on strong communication when supervising residents who face multiple health risks. Doctor evaluations, therapy guidance, and daily observations shape treatment decisions for each individual. Park Shore Pharmacon supports this coordination by helping teams follow clinically supervised medication plans that protect safety and maintain steady routines for residents with complex needs.
Pharmacy Support Systems That Help Teams Manage Prader-Willi Syndrome
Care teams who support individuals who live with Prader-Willi Syndrome need organized pharmacy systems that guide medication timing, behavior plans, and documentation. Predictable routines help residents follow safe schedules that improve stability and daily structure. The bullet points below outline key pharmacy tools that strengthen coordination and support Florida facilities that manage complex care needs with clarity.
- Clear Packaging Formats That Improve Daily Safety: Park Shore Pharmacon prepares packaging options that help caregivers follow medication timing with confidence. Teams use blister cards, color-coded labels, and single-use formats that support safe administration for individuals who manage complex needs each day. These tools help staff stay focused during morning, afternoon, and evening routines.
- Medication Schedules That Support Stable Routines: Park Shore Pharmacon develops schedules that help caregivers guide residents through structured routines. Each schedule outlines timing, dose changes, and clinical updates. This structure helps teams reduce confusion and follow consistent plans that support individuals who live with cognitive delays, behavioral challenges, and hormone-related needs.
- Communication Systems That Strengthen Clinical Coordination: Park Shore Pharmacon improves communication between caregivers, clinicians, and administrators by organizing medication updates and clarifying instructions. Teams receive support that helps them track orders, document changes, and share information that influences daily care. This coordination helps facilities maintain safety and stability for individuals who live with Prader-Willi Syndrome.
Frequently Asked Questions (FAQs) About Prader-Willi Syndrome
- What is Prader-Willi Syndrome?
This condition affects appetite, metabolism, growth, and behavior. As a result, individuals benefit from structured routines and ongoing clinical guidance. Caregivers and licensed professionals work together to support daily safety and stability. - What causes Prader-Willi Syndrome?
Genetic changes on chromosome 15 influence hormone activity and several developmental functions. Because these changes create lifelong support needs, clinical teams guide families and caregivers through appropriate care plans. This collaboration helps maintain predictable routines. - What are the early signs of Prader-Willi Syndrome?
Infants may show low muscle tone, feeding challenges, slow growth, and reduced energy. With early support, children gain improved developmental stability. Clinical guidance also helps families manage nutrition and physical progress. - How does Prader-Willi Syndrome affect behavior?
Many individuals experience food-seeking, anxiety, repetitive behaviors, or difficulty with transitions. Therefore, structured routines help maintain stability throughout the day. Care teams use supervision to guide safe daily choices. - Does medication help manage Prader-Willi Syndrome?
Clinicians may use medication to support mood, sleep, hormones, or related conditions. These decisions always require a licensed evaluation. Ongoing monitoring ensures safe and appropriate use. - Can individuals with Prader-Willi Syndrome develop other medical conditions?
Many develop concerns like diabetes, thyroid issues, seizures, or behavioral health needs. With regular monitoring, teams detect changes early. Care plans adjust as needed to maintain safe routines. - How does Park Shore Pharmacon support medication needs?
Park Shore Pharmacon organizes schedules, packaging, and communication systems that support clinical plans. As a result, teams receive clear instructions to maintain consistent routines. This structure strengthens daily safety.
Connect With Park Shore Pharmacon for Reliable Medication Solutions
Families and care teams work every day to support individuals who live with Prader-Willi Syndrome, and this ongoing effort requires clear routines that protect safety and stability. As these needs grow, reliable pharmacy support becomes even more important. Well-organized medication systems guide daily care, reduce confusion, and help teams follow clinically supervised plans. Park Shore Pharmacon strengthens this process by coordinating schedules, improving communication, and supporting consistent medication timing. Florida communities rely on structured care, so contact our team today to learn how we help facilities build safer routines and stronger support systems for individuals who live with Prader-Willi Syndrome.
Park Shore Pharmacon
600 Ansin Boulevard
Hallandale Beach, FL 33009
Phone: 954.874.4646
Fax: 954.455.1378
Toll Free Fax: 1-855-464-7779
General Inquiries: customerservice@parkshoredrug.com
Billing: billing@parkshoredrug.com
A strong support system helps individuals who live with Prader-Willi Syndrome maintain safer routines and steady progress. In addition, Florida care teams rely on clear coordination and dependable guidance each day to support stability. As these needs grow, Park Shore Pharmacon offers a reliable structure that strengthens clinical planning and daily consistency. To move forward confidently, contact our team to learn how we help facilities improve safety and support long-term wellness.

